Smile Gallery
Authentic Patients, Radiant Smiles


Aesthetic Case #1
This patient wanted a more balanced smile, but years of recession made the front teeth look long and uneven. We designed four natural-looking porcelain veneers to improve shape, symmetry, and brightness, and partnered with our periodontist for gentle gum grafting to restore healthy tissue. Together, the veneers and gum grafting created a stronger foundation and a natural, confident result—showcasing how our Portland cosmetic dentistry team blends health and artistry in every smile makeover.
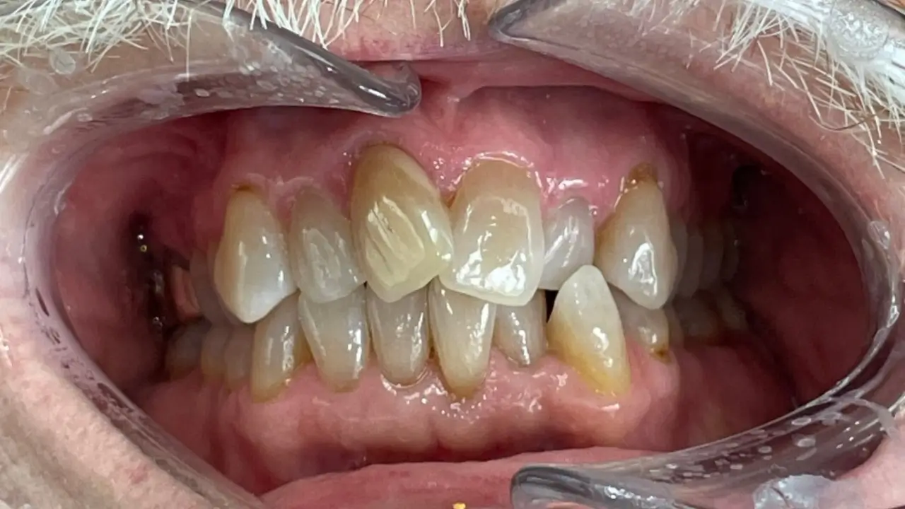
Aesthetic Case #2
We completed 10 upper veneers for this patient, replacing two older, dark veneers and adding eight prepless veneers that required no drilling or enamel removal. This minimally invasive approach helped us brighten and balance her smile while keeping her natural teeth healthy. It’s a great example of how our Portland cosmetic dentistry team creates beautiful, conservative smile makeovers.




Aesthetic Case #3
This case shows how Invisalign gently corrected crowding and improved overall alignment, creating a cleaner, more balanced smile. With custom clear aligners, we were able to enhance bite function and symmetry while keeping treatment comfortable and minimally invasive.
Aesthetic Case #4
This patient had a porcelain/metal crown on her front tooth that was too long and the wrong color, and a stained old filling on the tooth next to it. The crown was replaced with a new all-porcelain crown, and the filling was redone to bring harmony to her smile.


Customer Love
Creating Beautiful Smiles for Every Generation.
Dr. Jaime and the entire team provided an exceptional experience. From the moment I arrived, I felt genuinely welcome and well cared for. They evaluated my needs and seamlessly performed a crown procedure. Everything from the treatment process to the cost was explained clearly and thoroughly. The procedure itself was painless, efficient, and professionally handled. Many thanks to Dr. Jaime and the wonderful staff. I would highly recommend their office to anyone seeking top-quality dental care.
I have a lot of good things to say about Hollywood Family Dentistry and this is coming from someone who has anxiety before and during a visit to the dentist! From start to finish, the staff was welcoming, efficient and knowledgeable. Enzo the dental doodle is a great addition to the team too! 😃 Dr. Holtz is so wonderful! She was positive, informative and gave me good advice and treatment options. I highly recommend Hollywood Family Dentistry.
The Hollywood family dentistry team gives an outstanding performance from the get go. The front desk team (Katherine and Angie) were very quick and had me ready to go. Krista (the hygienist) was very thorough and kind. Dr. Jaime and the Dental assistant Jaydin were very polite. They gave great service/advice for further steps to improve the longevity of my teeth and smile. Overall this dental office gives a 110% percent and nothing less.
I took my daughter to her very first dentist appointment with Dr. Jaime Holtz and she took such good care of her. Dr. Holtz is incredibly professional and helped my toddler feel comfortable by offering her a toy and kind words before getting to work. I am so grateful this was my daughter's first experience with dentistry — it was quick, positive, and caring. Highly recommend!
DENTAL OFFICES IN PORTLAND
To schedule your appointment
Use the form beside to provide us with the information, and our coordinator will contact you for convenient appointment times.
Office Hours
- Monday 8:00 - 5:00pm
- Tuesday 8:00 - 5:00pm
- Wednesday 8:00 - 5:00pm
- Thursday 8:00 - 5:00pm
- Friday Closed
- Weekends Closed




























